
Żyjemy w XXI wieku. Nasza epoka to zbiór różnorodnych osiągnięć i postępu, nowych odkryć i innowacyjnych rozwiązań w wielu dziedzinach życia. Jednak z czasem idą nie tylko osiągnięcia i odkrycia, ale także nasze zdrowie. Ostatnio problemy zdrowotne populacji stały się niemal głównym problemem. Co ciekawe, większość chorób, na które cierpią współcześni ludzie, to choroby zębów i dziąseł. Właśnie tym tłumaczy się fakt, że temat stomatologii, w szczególności estetycznej, jest dziś bardzo aktualny.
Odbudowa zębów jako jedna z gałęzi stomatologii estetycznej to innowacyjna technologia, która może sprawić, że każdy uśmiech stanie się olśniewający. Każdy wie, jak piękny uśmiech wpływa na życie człowieka. Niestety, współczesne tempo życia nie zawsze pozwala na odpowiednią pielęgnację jamy ustnej. Tym bardziej, że czasem zdarzają się nieprzewidziane sytuacje, w wyniku których integralność zębów zostaje naruszona. Właśnie w takich przypadkach z pomocą przychodzi taka usługa stomatologiczna jak odbudowa zębów.
Mimo rosnącej popularności technologii odbudowy zębów, mało kto zna jej szczegóły. Tym bardziej, że każdy dentysta stosuje własną technologię, dlatego opinie pacjentów na temat tego zabiegu bywają czasem zupełnie różne.
Dlatego, aby wyjaśnić sytuację i ją zrozumieć, warto nieco bardziej szczegółowo opowiedzieć, czym właściwie jest odbudowa zębów.
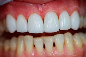
Warto zauważyć, że odbudowa zębów jest jednym z najważniejszych etapów takiej procedury jak rekonstrukcja zębów. Obecnie to właśnie odbudowa zębów cieszy się największym popytem. Dawniej, aby naprawić uszkodzony ząb, należało założyć na niego koronę. W ten sposób funkcjonalność uszkodzonego zęba została zaburzona, a efekt końcowy nie wyglądał zbyt estetycznie. Dziś dentyści nauczyli się stosować wiele innowacyjnych technologii, które pozwalają nie tylko przywrócić atrakcyjność uśmiechu, ale także zachować funkcjonalność uszkodzonego zęba.
Aby odtworzyć uszkodzony ząb, współcześni lekarze stosują kilka różnych metod. W związku z tym odbudowa zębów może być przeprowadzana zarówno w jednym, jak i w kilku etapach. W zasadzie przeprowadzenie tej procedury jest wymagane w przypadkach, gdy pacjenta nie satysfakcjonuje kształt własnych zębów lub ich położenie. Ponadto do klinik często zgłaszają się pacjenci, którzy potrzebują odbudowy ukruszeń zębów, różnego stopnia skrzywień i pęknięć. Według statystyk najczęściej do podobnych zabiegów uciekają się dziewczęta i kobiety, które marzą o posiadaniu hollywoodzkiego uśmiechu. Z kolei mężczyźni korzystają z zabiegu odbudowy zębów wyłącznie w celach leczniczych. Oznacza to, że w celu usunięcia odprysków i innych uszkodzeń. Z powyższego można wywnioskować, że odbudowa zębów jest zabiegiem, który najczęściej ma charakter estetyczny. Jego przeprowadzenie w niektórych przypadkach jest pożądane, ale nie obowiązkowe. Z pewnością pomożemy Państwu w naszej klinice stomatologicznej w Torrevieja.
Jednym z najprostszych sposobów odbudowy zębów jest wypełnianie (plombowanie). Jednak odbudowa zębów poprzez wypełnianie nie jest wypełnianiem w tradycyjnym znaczeniu tego słowa. Z pewnością pomiędzy odbudową a zwykłym wypełnianiem jest wiele wspólnego, jednak stosowane są przy tym różne technologie. Główna różnica polega na tym, że do odbudowy zębów jako materiał wypełniający stosuje się specjalny skład, który przez długi czas zachowa kolor i integralność. Takie materiały wyróżniają się bardzo wysoką jakością i mają unikalną wytrzymałość. Jednak zastosowanie takiej technologii jest dopuszczalne tylko w celu usunięcia niewielkich odprysków lub mikro pęknięć zęba. Z reguły wystarczy jeden zabieg, aby odtworzyć uszkodzony ząb. Aby rozwiązać bardziej złożone problemy, wymagane jest zastosowanie różnorodnych metod mikroprotetyki.
Odbudowa zębów metodą mikroprotetyki polega na przywróceniu integralności zęba. Takie zabiegi przeprowadzane są w kilku etapach i wymagają od lekarza posiadania określonej wiedzy i doświadczenia w tej dziedzinie. Główna trudność wieloetapowej odbudowy zębów polega na tym, że przy wykonywaniu tego zabiegu wymagane jest zastosowanie specjalnych wkładów i licówek (veneerów). Licówki to płytki wykonywane indywidualnie. Grubość takich płytek nie przekracza 0,7 mm. Są one mocowane do samego zęba za pomocą materiału kompozytowego. Zastosowanie licówek pozwala nie tylko zmienić kształt zęba, ale także jego kolor. Ponadto po założeniu takich płytek własny ząb staje się mocniejszy, a jego walory estetyczne ulegają kilkukrotnej poprawie. Z reguły do produkcji licówek stosuje się ceramikę lub materiał kompozytowy.
Zastosowanie materiałów kompozytowych jest konieczne w przypadkach, gdy wymagana jest rekonstrukcja nie więcej niż dwóch-trzech zębów. Ich żywotność wynosi około siedmiu lat. Zaletą takich licówek jest to, że lekarz przy pewnym doświadczeniu może je założyć w trakcie jednej wizyty.
Jednak odbudowa zębów za pomocą licówek ceramicznych to bardziej żmudna praca, która zajmuje znacznie więcej czasu. Taka odbudowa przeprowadzana jest w kilku etapach. Najpierw lekarz pobiera wycisk zęba, następnie dobierany jest odcień, który będzie najbardziej pasował kolorystycznie do naturalnych zębów, po czym uszkodzony ząb jest szlifowany i zakładana jest tymczasowa licówka. Jedyną niedogodnością przy zakładaniu licówki ceramicznej jest to, że jej wykonanie w laboratorium trwa prawie dwa tygodnie. Po wykonaniu stałej licówki ceramicznej następuje jej założenie.
Zapraszamy mieszkańców Torrevieja, La Maty, Elche, Murcji, Alicante i innych miast Costa Blanca oraz regionu Walencji do odwiedzenia naszej kliniki lub telefonu pod numer +(34) 638 893 141. Przyjęcia odbywają się po wcześniejszym umówieniu.
| Torrevieja, Pasaje Pais Vasco, edificio 1 local 4 | |
| +(34) 638 893 141 | |
| +(34) 638 893 141 | |
| apdenta@gmail.com | |
| Godziny pracy: pon. - pt.: od 10:00 do 20:00 |